
德國模特豪花百萬斷骨增高足足14公分!為愛忍痛二度做手術,只因前夫喜歡大長腿?

據《The Sun》報道,這名模特名叫Theresia Fischer,今年31歲來自德國,既是一名藝人、主持人同時也是模特,不只是樣子甜美,從小身材較好的她也在娛樂圈內獲得了優勢,曾參加《Germany's Next Topmodel》、《Promi Big Brother》等,在不同社交媒體平台上斬獲不少粉絲:TikTok上更過200萬粉絲、Instagram亦有超過14萬粉絲。


近日Theresia在接受廣播節目採訪時,談到自己瘋狂的感情經歷而引起了網友的關注。她表示自己曾在24歲時遇上了身為電影攝影師的Thomas Behrend,並瘋狂愛上他,即使相差近30歲也無法阻止兩人相愛,經常在影展、公開場合曬恩愛,不時都會在社交平台上公開放閃,更在2019年宣佈結婚。


在外人眼中,Theresia和Thomas 就好似一對人人稱羨的神仙眷侶,但背後卻是Theresia一次次的妥協。原來Thomas 一直以來都喜歡長腿辣妹,雖然Theresia本身已經有167cm,但是仍然要求她兩度做增高手術。她表示:「他常常會說,『沒有我的話,你什麼都做不了,你需要我』,當這種話聽久了,20次、30次、60次、70次,真的會漸漸相信他說的,我好像沒有他真的不行」。


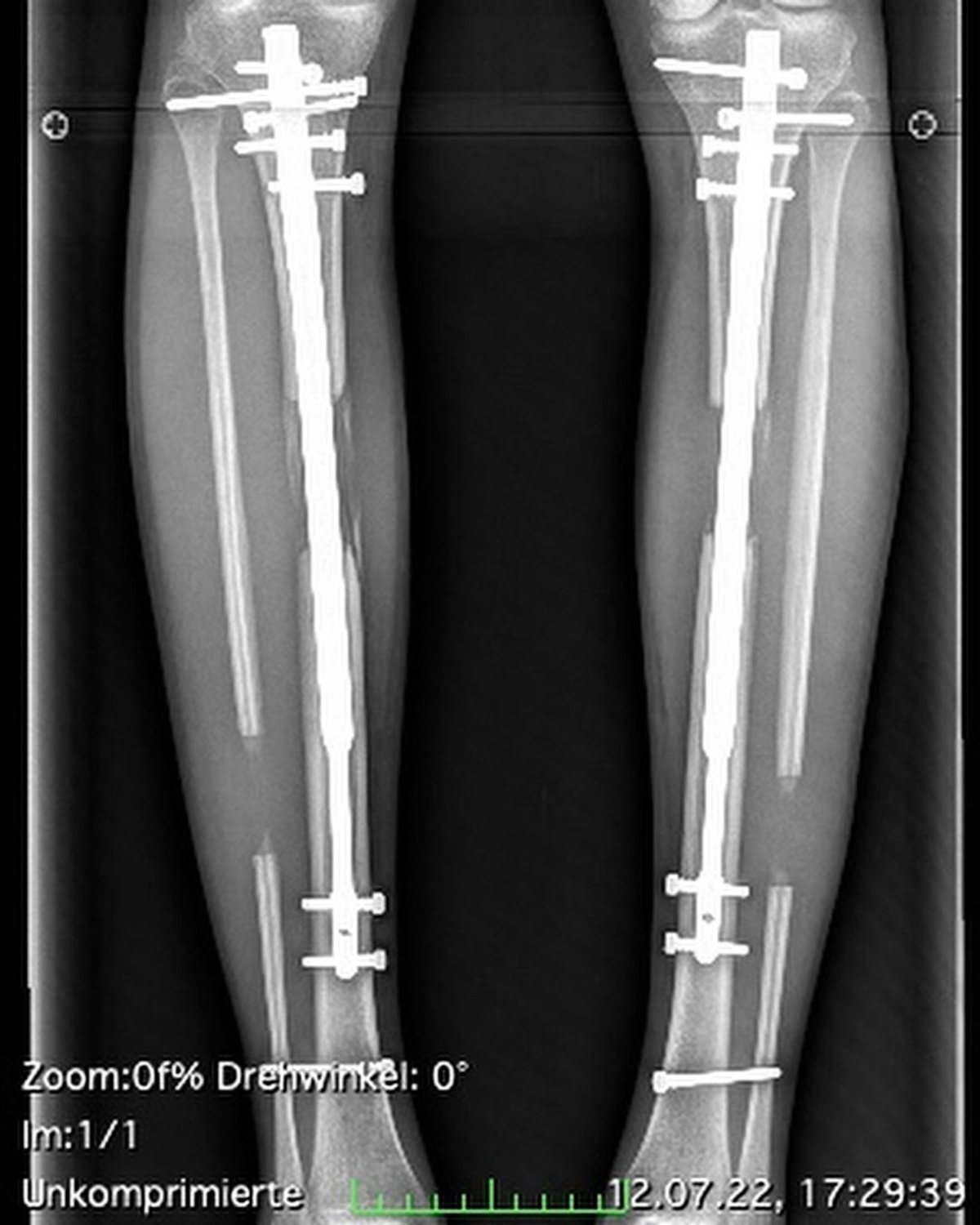
在一次次的要求下,原本對身高樣貌都非常有自信的Theresia也變得越來越懷疑自己,甚至答應Thomas的要求,豪花13萬英鎊(約120萬港元)兩度進行增高手術。2016年時進行第一次手術,利用伸縮桿加長大腿長度,足足8.5cm!而第二次手術則是在2022年的時候,進行小腿伸展手術,再加長了5.5cm,所以從原本的167一路增高到181cm的逆天長腿!


不過Theresia的增高過程也對她造成巨大的傷害,整個過程變得非常痛苦:「我的脛骨被打斷,小腿肌肉被撕裂,在裡面安裝一個可伸縮的裝置,每次使用裝置時都可以聽到哢噠哢噠的聲音」,而這些痛苦是即使吃了止痛藥也難以忍受的劇痛!


在遭受痛苦之後的Theresia也因為前夫許多無理的行為而決定斷開前夫,並與現任男友相識相戀,非常恩愛。Theresia希望藉由自身的故事能夠提醒大眾,不要輕易嘗試增高手術,不單要花錢捱痛,更有可能帶來不可逆轉的傷害。


Text: GirlStyle Editorial
Photo Source: theresiafischer/IG




